群馬大学大学院保健学研究科 横山知行教授、医学系研究科 前野敏孝講師、倉林正彦教授および筑波大学医学医療系 松坂賢准教授、島野仁教授らの研究グループは、肺線維症の発症に脂質、特に脂肪酸のバランスが重要であり、この組成が変化することで肺線維症の症状が悪化することを発見しました。

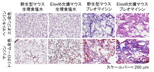
Elovl6欠損マウスにおける線維化の悪化(上段は細胞及び組織構造の全体像を把握する為の染色、下段は線維化(青色)の程度を染色している。野生型マウスと比較して、Elovl6欠損マウスで青色の線維化領域が増加している。)
PDF資料
プレスリリース