生物・環境

核DNAにコードされた遺伝子の機能欠損がミトコンドリア病の病態を悪化させる

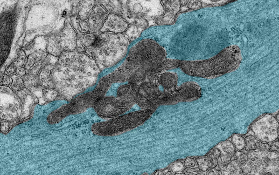
研究イメージ画像 (ミトコンドリアの電子顕微鏡写真)

 ミトコンドリアは細胞の活動を支えるエネルギー分子ATPの合成を担う重要な細胞小器官です。しかしながら、その機能や形態の異常が、血球細胞の分化に対してどのような影響を及ぼすのかは、よく分かっていませんでした。


 本研究では、ミトコンドリアが独自に有するゲノムであるミトコンドリアDNA(mtDNA)の突然変異によってミトコンドリアの機能が低下したマウスと、ミトコンドリアの分裂を担う核DNA上の因子を血球系で特異的に欠損させたマウスとを掛け合わせ、「血球系でミトコンドリアの機能低下と分裂不全が同時に現れるマウス」を新たに樹立し、その症状が、ミトコンドリアの機能低下単独や分裂不全単独によって引き起こされるものとどのように異なっているかを検証しました。


 その結果、どちらの異常も、それぞれ単独で貧血の原因になるものの、その病態の質が異なっていることが分かりました。また、分裂不全に機能低下が加わると、その病態が相加的に悪化することも明らかになりました。


 本成果は、ミトコンドリアの機能と形態が、いずれも血球分化において重要な役割を担っていることを示唆しています。また、mtDNAの変異が原因となる全身性の疾患であるミトコンドリア病において、ATP産生機能低下という一つの現象が多様な症状をもたらすメカニズムの解明にもつながると考えられます。


PDF資料

プレスリリース

研究代表者

筑波大学生命環境系
石川 香 助教
中田 和人 教授



関連リンク

生命環境系