生物・環境
ミトコンドリアの融合因子MFN2の機能不全が進行性の神経変性を誘導することを証明
研究成果のポイント
1. ミトコンドリアの融合因子MFN2の機能不全型突然変異体を神経細胞で特異的に任意のタイミングで発現するマウスを樹立しました。
2. 同じ変異体でも、発現させるタイミングによって症状の程度が大きく異なることを発見しました。 3. 神経細胞の機能維持におけるMFN2の重要性を証明しました。
概要
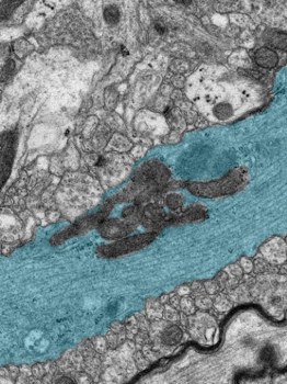
筑波大学 生命環境系 石川香助教は、武田薬品工業株式会社及び藤田医科大学との共同研究により、ミトコンドリアの融合因子MFN2の機能不全型突然変異体を任意のタイミングで神経細胞特異的に発現させることが可能なマウスを用い、MFN2の機能不全が神経変性を誘導することを発見しました。この変異体を出生時から発現させると、急性かつ重篤な神経変性が起こりました。一方、同じ変異体を成体になってから発現させると、緩やかに進行する神経変性が誘導され、ヒトの神経変性疾患と類似した認知機能低下や運動機能障害が現れました。この結果は、MFN2の機能が神経細胞を維持する上で重要であることを示すと同時に、神経変性疾患のモデル生物を樹立する際には病因因子の発現タイミングを考慮することが不可欠であることを示唆しています。現状、神経変性疾患モデルマウスの大部分は病因因子を発生時期から発現またはノックアウトされたものであり、ヒトの病態進行との乖離が問題となっていますが、本成果はそうした乖離を解消するための重要な示唆を含んでいます。 なお、本研究内容に関連した電子顕微鏡写真が、論文が掲載された雑誌の当該号の表紙に採択されました。
図 変異体の発現時期による病態の違い

図 表紙に採択された電子顕微鏡写真
*本研究は、日本学術振興会が助成する科学研究費、日本医療研究開発機構が助成するAMED-CREST、武田科学振興財団が助成するライフサイエンス研究奨励によって実施され、新学術領域研究 先端モデル動物支援プラットフォームの支援を受けて行われました。
 
【題 名】 Acquired Expression of Mutant Mitofusin 2 Causes Progressive Neurodegeneration and Abnormal Behavior. (突然変異型Mitofusin 2の後天的発現は進行性神経変性と行動異常を引き起こす)
【著者名】 Ishikawa K, Yamamoto S, Hattori S, Nishimura N, Tani H, Mito T, Matsumoto H, Miyakawa T, Nakada K.
【掲載誌】 The Journal of Neuroscience
【掲載日】 2019年2月27日
http://www.jneurosci.org/content/39/9/1588
問い合わせ先:石川 香(いしかわ かおり)筑波大学 生命環境系 助教
1. ミトコンドリアの融合因子MFN2の機能不全型突然変異体を神経細胞で特異的に任意のタイミングで発現するマウスを樹立しました。
2. 同じ変異体でも、発現させるタイミングによって症状の程度が大きく異なることを発見しました。 3. 神経細胞の機能維持におけるMFN2の重要性を証明しました。
概要
筑波大学 生命環境系 石川香助教は、武田薬品工業株式会社及び藤田医科大学との共同研究により、ミトコンドリアの融合因子MFN2の機能不全型突然変異体を任意のタイミングで神経細胞特異的に発現させることが可能なマウスを用い、MFN2の機能不全が神経変性を誘導することを発見しました。この変異体を出生時から発現させると、急性かつ重篤な神経変性が起こりました。一方、同じ変異体を成体になってから発現させると、緩やかに進行する神経変性が誘導され、ヒトの神経変性疾患と類似した認知機能低下や運動機能障害が現れました。この結果は、MFN2の機能が神経細胞を維持する上で重要であることを示すと同時に、神経変性疾患のモデル生物を樹立する際には病因因子の発現タイミングを考慮することが不可欠であることを示唆しています。現状、神経変性疾患モデルマウスの大部分は病因因子を発生時期から発現またはノックアウトされたものであり、ヒトの病態進行との乖離が問題となっていますが、本成果はそうした乖離を解消するための重要な示唆を含んでいます。 なお、本研究内容に関連した電子顕微鏡写真が、論文が掲載された雑誌の当該号の表紙に採択されました。
図 変異体の発現時期による病態の違い

図 表紙に採択された電子顕微鏡写真
*本研究は、日本学術振興会が助成する科学研究費、日本医療研究開発機構が助成するAMED-CREST、武田科学振興財団が助成するライフサイエンス研究奨励によって実施され、新学術領域研究 先端モデル動物支援プラットフォームの支援を受けて行われました。
掲載論文
【題 名】 Acquired Expression of Mutant Mitofusin 2 Causes Progressive Neurodegeneration and Abnormal Behavior. (突然変異型Mitofusin 2の後天的発現は進行性神経変性と行動異常を引き起こす)
【著者名】 Ishikawa K, Yamamoto S, Hattori S, Nishimura N, Tani H, Mito T, Matsumoto H, Miyakawa T, Nakada K.
【掲載誌】 The Journal of Neuroscience
【掲載日】 2019年2月27日
http://www.jneurosci.org/content/39/9/1588
問い合わせ先:石川 香(いしかわ かおり)筑波大学 生命環境系 助教